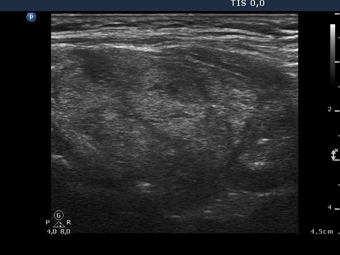
Case 1424 (ultrasonographic picture 5)
|
|
|
|
Left lobe, longitudinal scan. The upper nodular area is composed of multiple echonormal lesions while there is a hypoechogenic area in the lower part of the lobe.
