Case 1162 (ultrasonographic picture 9)


Previous picture Back to Case Next picture

Right lobe, longitudinal scan

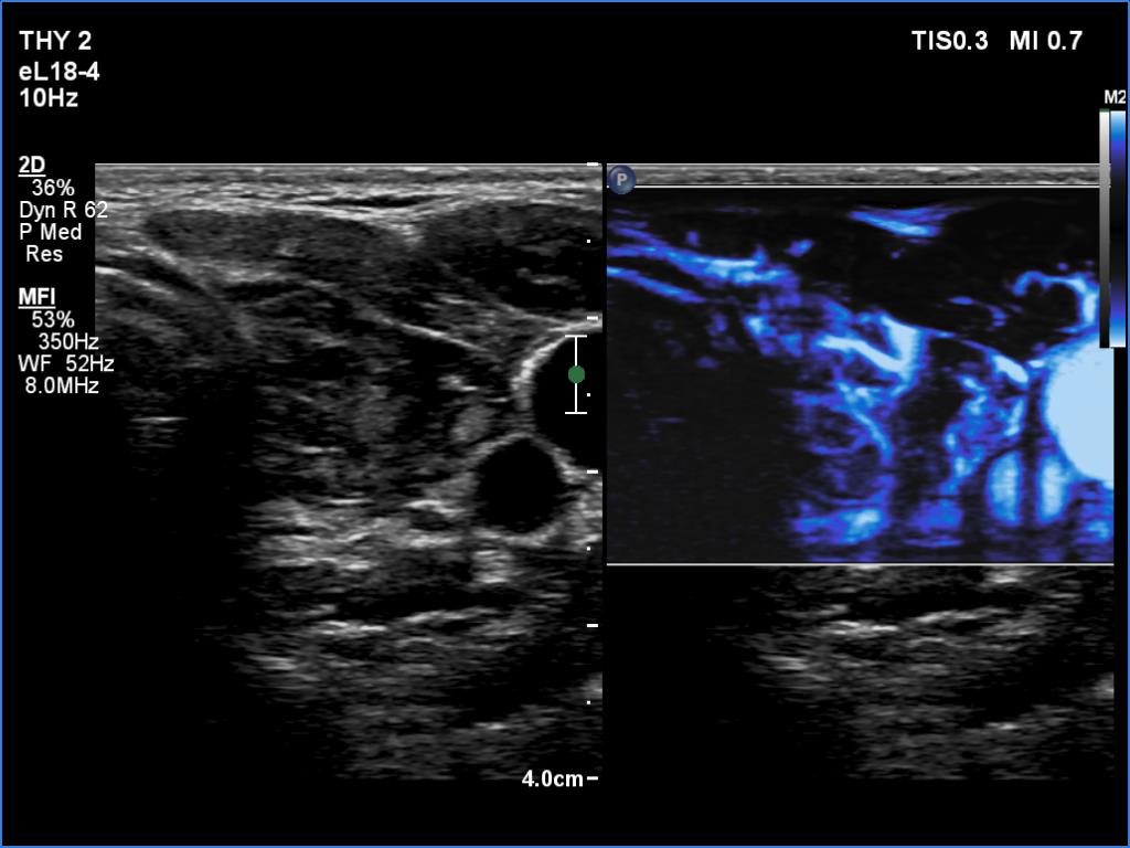
Left lobe, transverse scan, microflow imaging. The lobe is rich in vessels.

 

 

 

 

 

mask