Case 1348

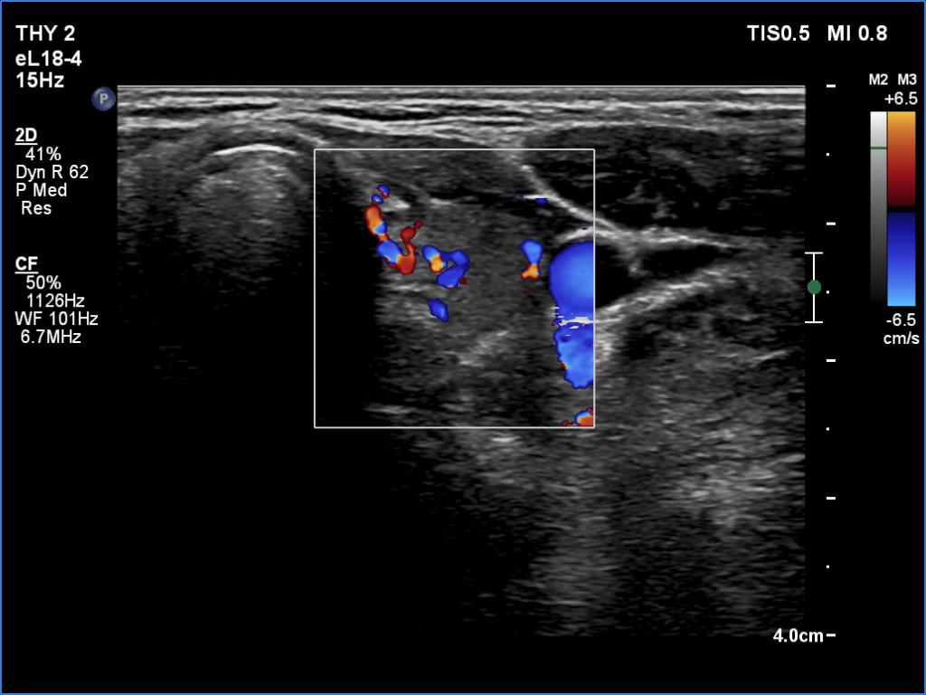
Examination a year after the first visit (ultrasonographic picture 7)


Previous picture Back to Case Next picture

Right lobe, longitudinal scan

Left lobe, transverse scan, color Doppler mode. The vascularity became average.

 

 

 

 

 

mask