Case 1348 (ultrasonographic picture 7)


Previous picture Back to Case Next picture

Right lobe, longitudinal scan

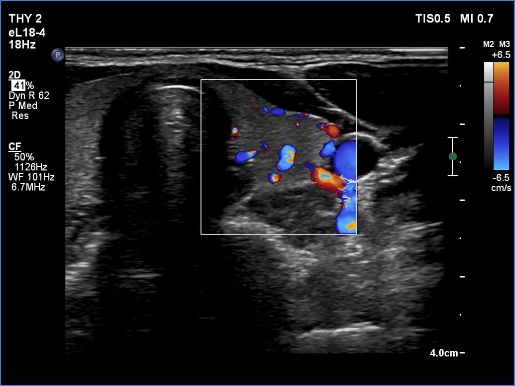
Left lobe, transverse view, color Doppler mode. The vascularity is average.

 

 

 

 

mask