Case 1441

Follow-up investigation a year after first visit (ultrasonographic picture 2)


Previous picture Back to Case Next picture

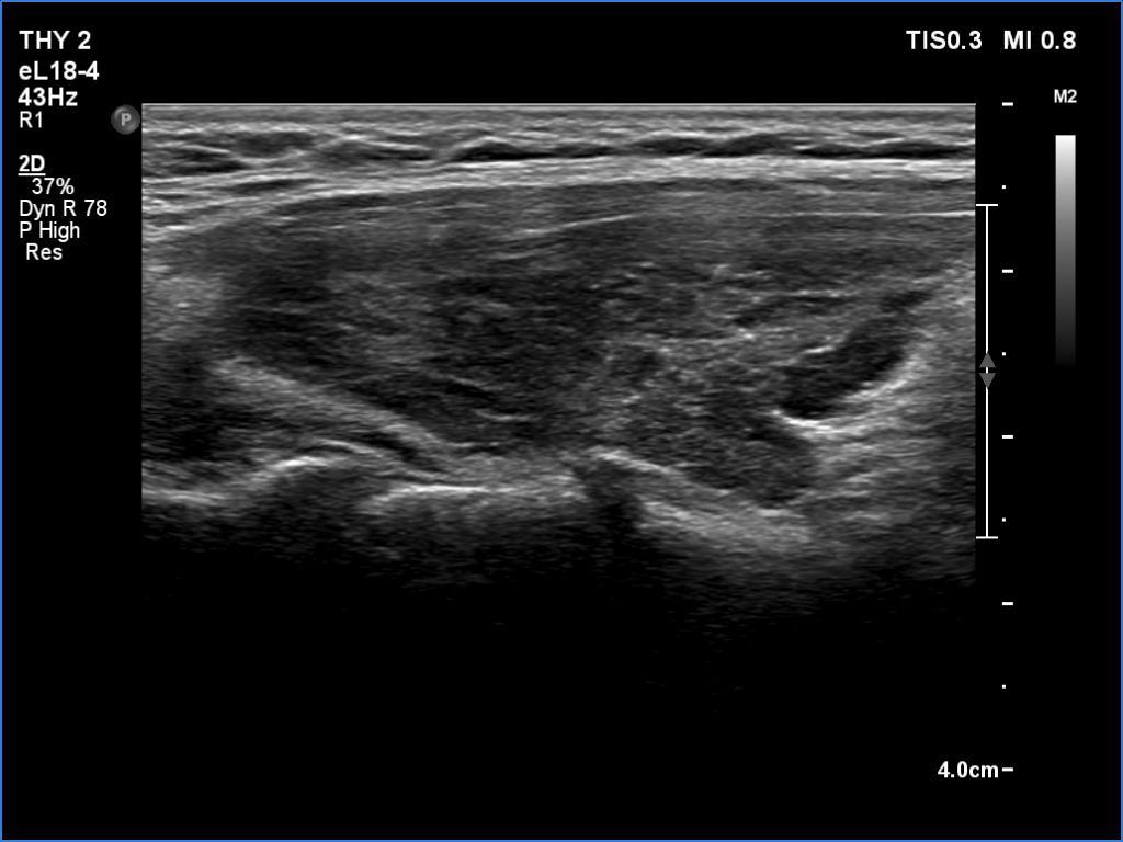
Right lobe, longitudinal scan

Right lobe, longitudinal scan. The echo structure remained normal in only small islets.

 

 

 

 

 

mask