Case 1613 (cytologic picture 2)


Previous picture Back to Case Maximize Next picture



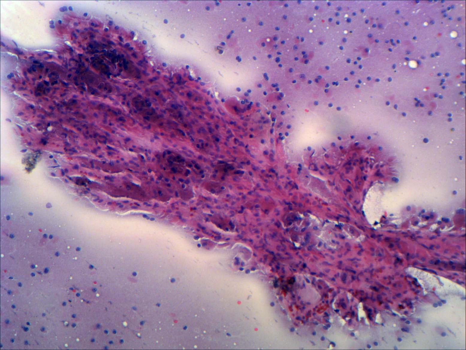
Pap-smear, 100x.   There is a large, arborizing papillary cluster and dispersed cells.

mask