2022-23 Advanced Papillon Course
Lesion vs. nodule
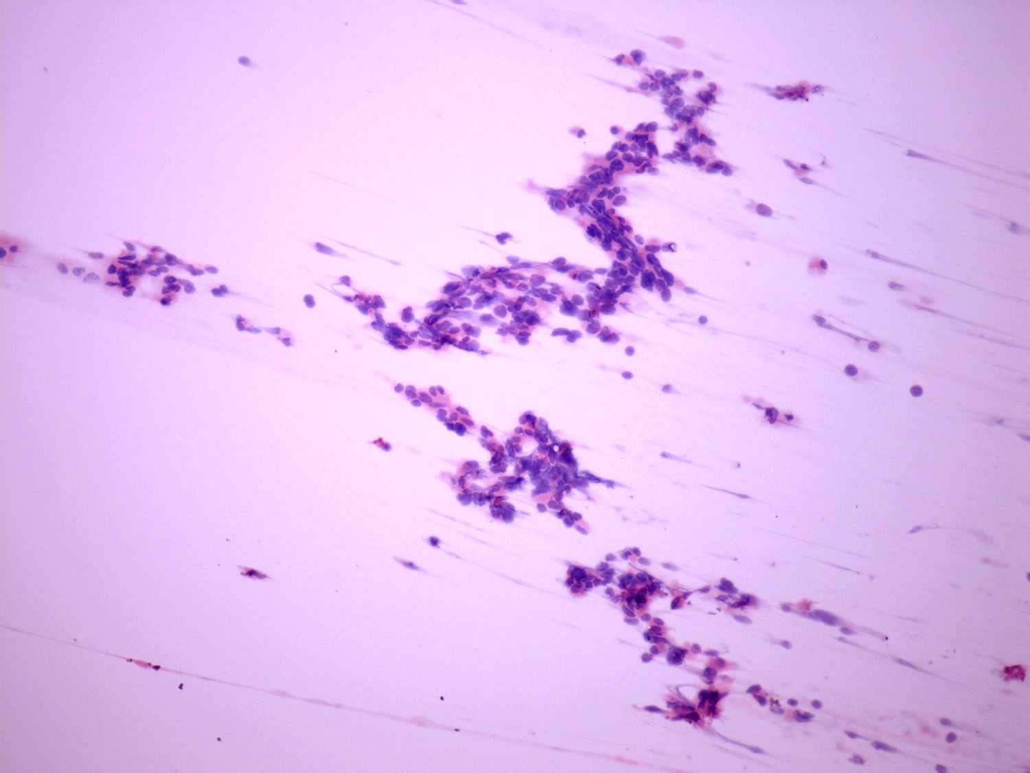
Pap-smear, 100x. There is no colloid in the background.