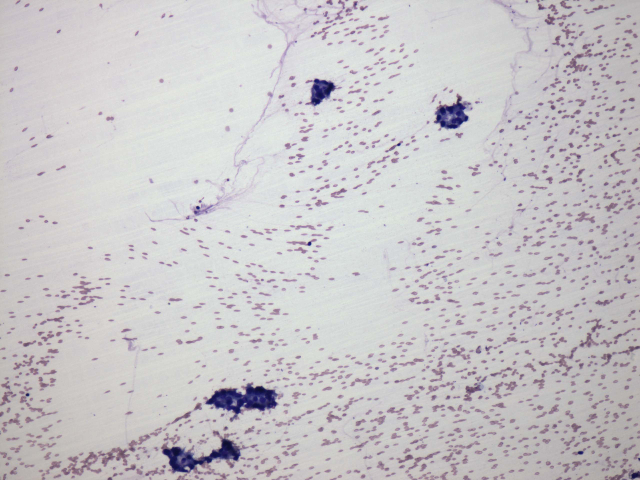
Case 239 (cytologic picture 2 of the larger lesion)


Previous picture Back to Case Maximize Next picture

Right lobe, longitudinal scan

Wright-Giemsa staining, 100x.   There are compact groups of microfollicles.

 

 

 

mask