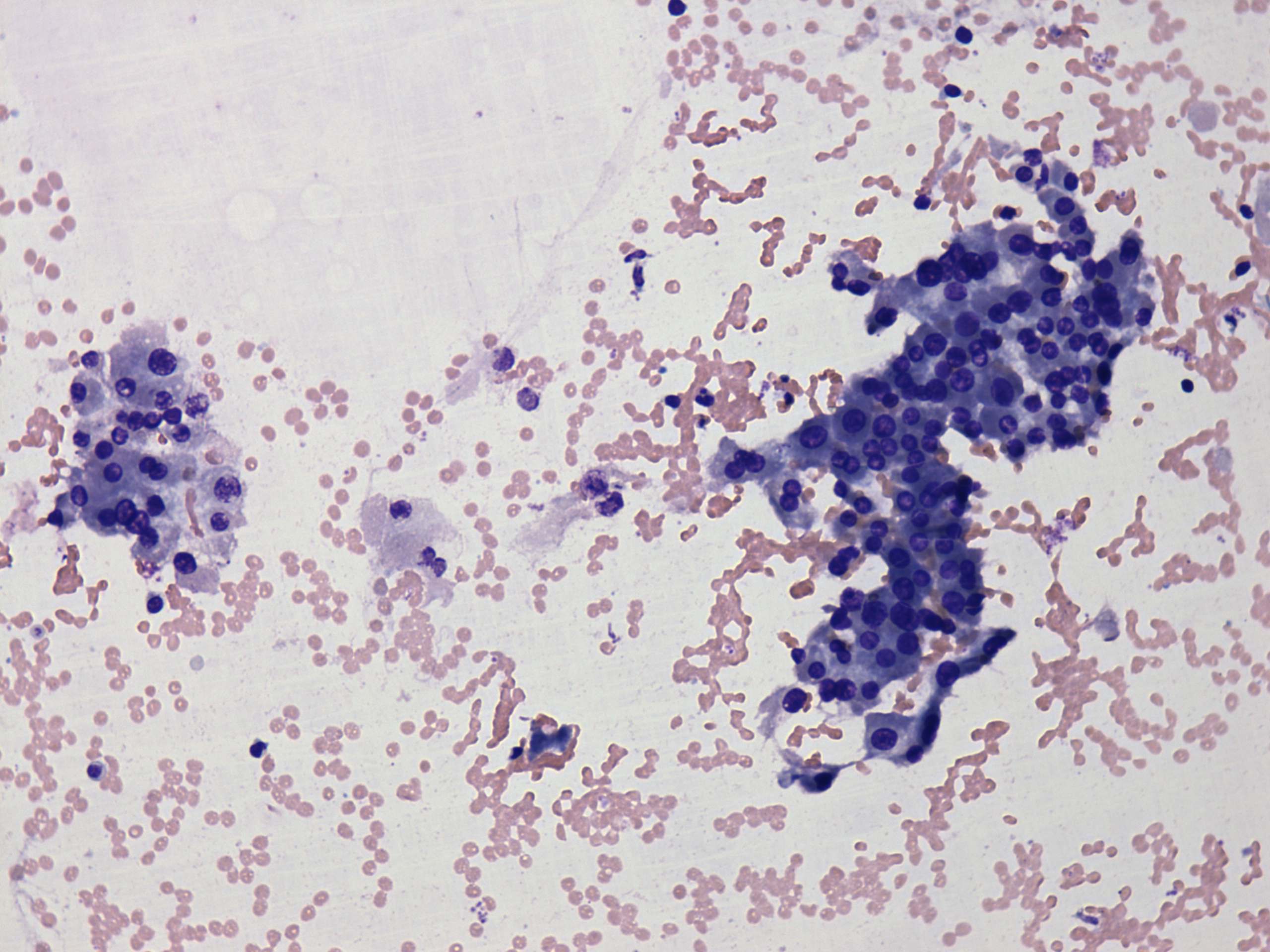
Case 239 (cytologic picture 3 of the smaller lesion)


Previous picture Back to Case Maximize Next picture

Right lobe, longitudinal scan

Wright-Giemsa staining, 400x.   Follicular cells present oxyphilic changes.

 

 

 

mask