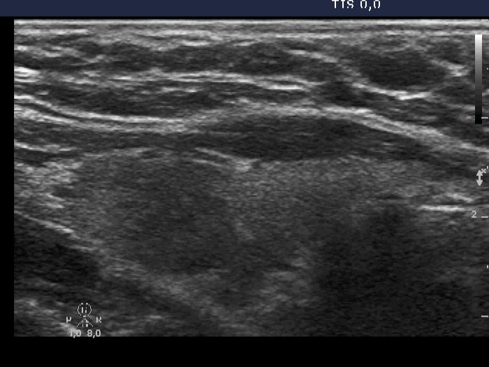
Case 316 (ultrasonographic picture 2)


Previous picture Back to Case Next picture


Right lobe, longitudinal scan. Minimally hypoechogenic areas are demonstrated.

mask