Case 772 (cytologic picture 1)


Previous picture Back to Case Maximize Next picture

Right lobe, longitudinal scan

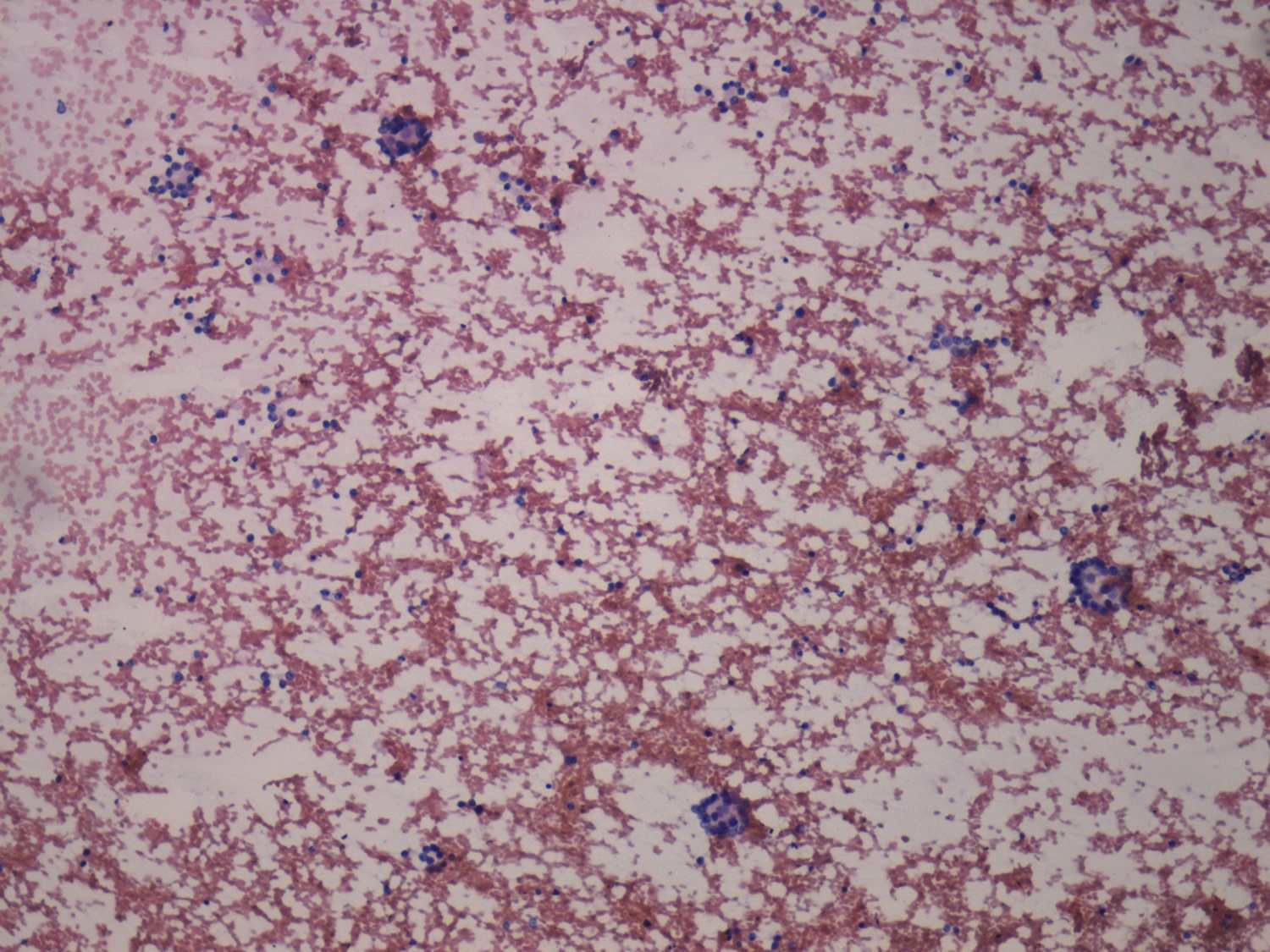
Pap-smear, 100x.   There is no colloid in the background. Thyrocytes occur in microfollicles.

 

 

 

 

 

mask