Case 1096 (cytologic picture 2)


Previous picture Back to Case Maximize Next picture

Right lobe, longitudinal scan

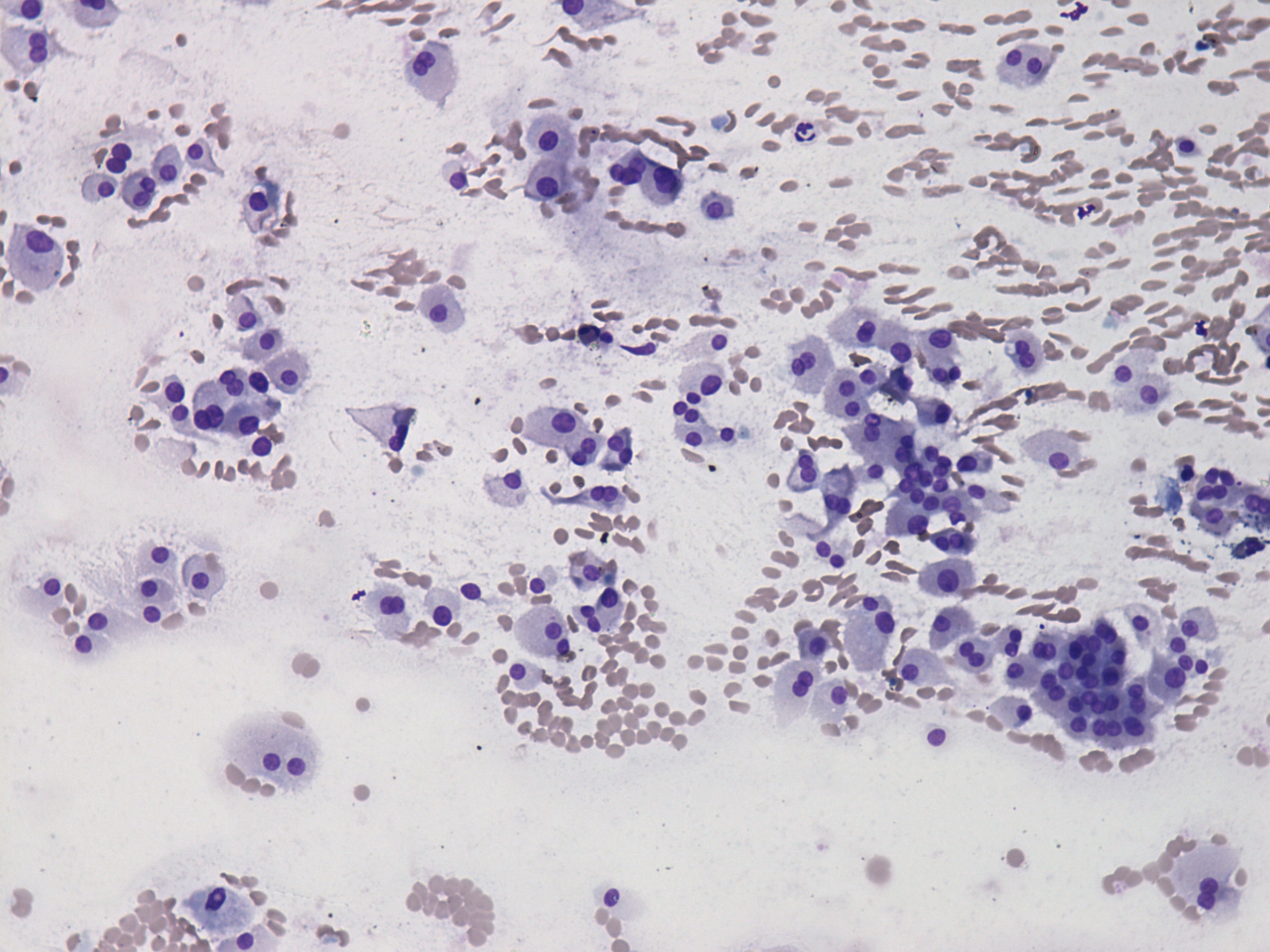
Wright-Giemsa staining, 200x.   Oxyphilic cells occur mostly dissociated.

 

 

 

mask