Case 374 (cytologic picture 1)


Previous picture Back to Case Maximize Next picture



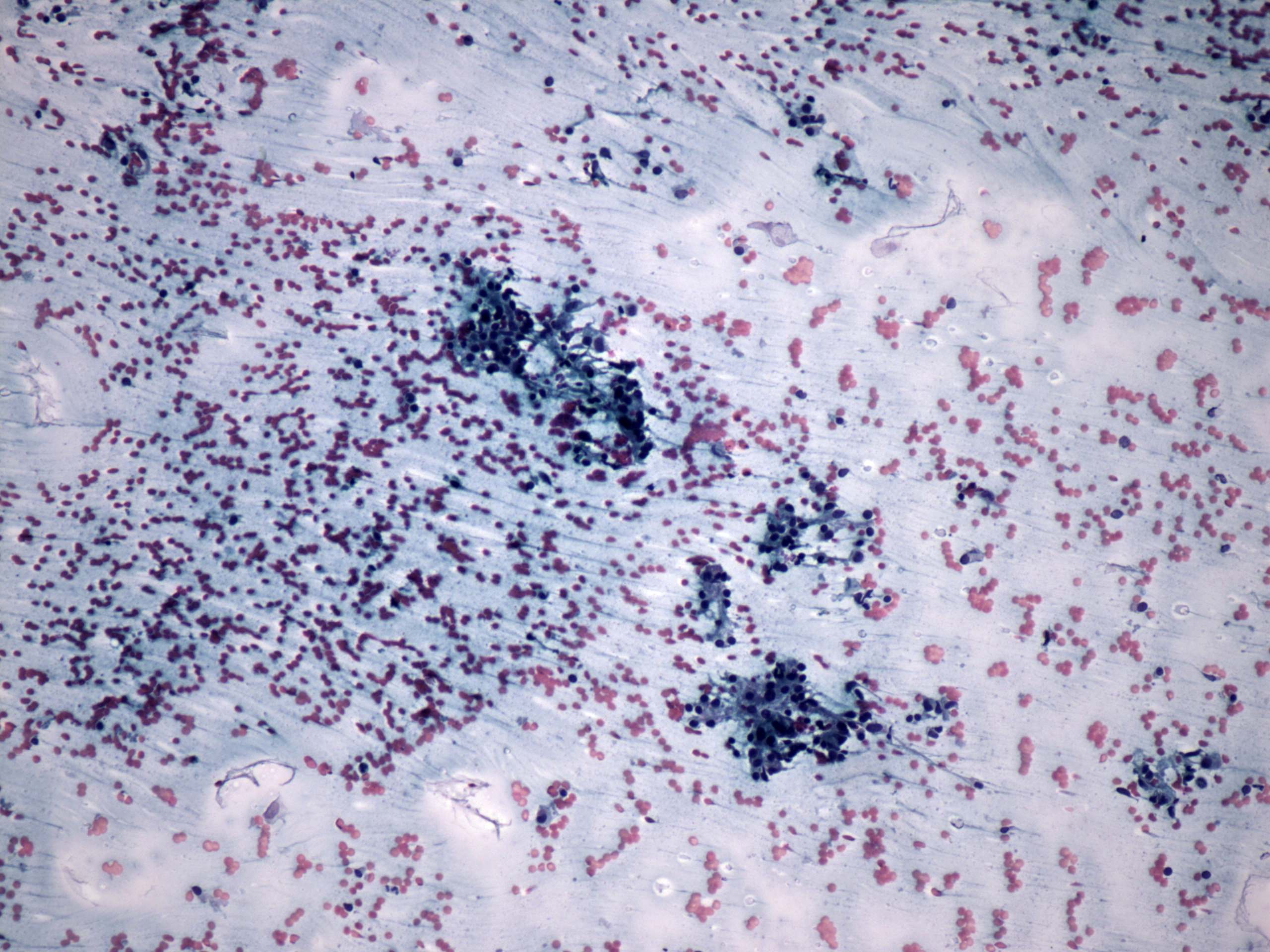
Pap-smear, 100x. There is no colloid in the background. Follicular cells occur in loose clusters.

mask