Case 374 (cytologic picture 3)
|
|
|
|
|
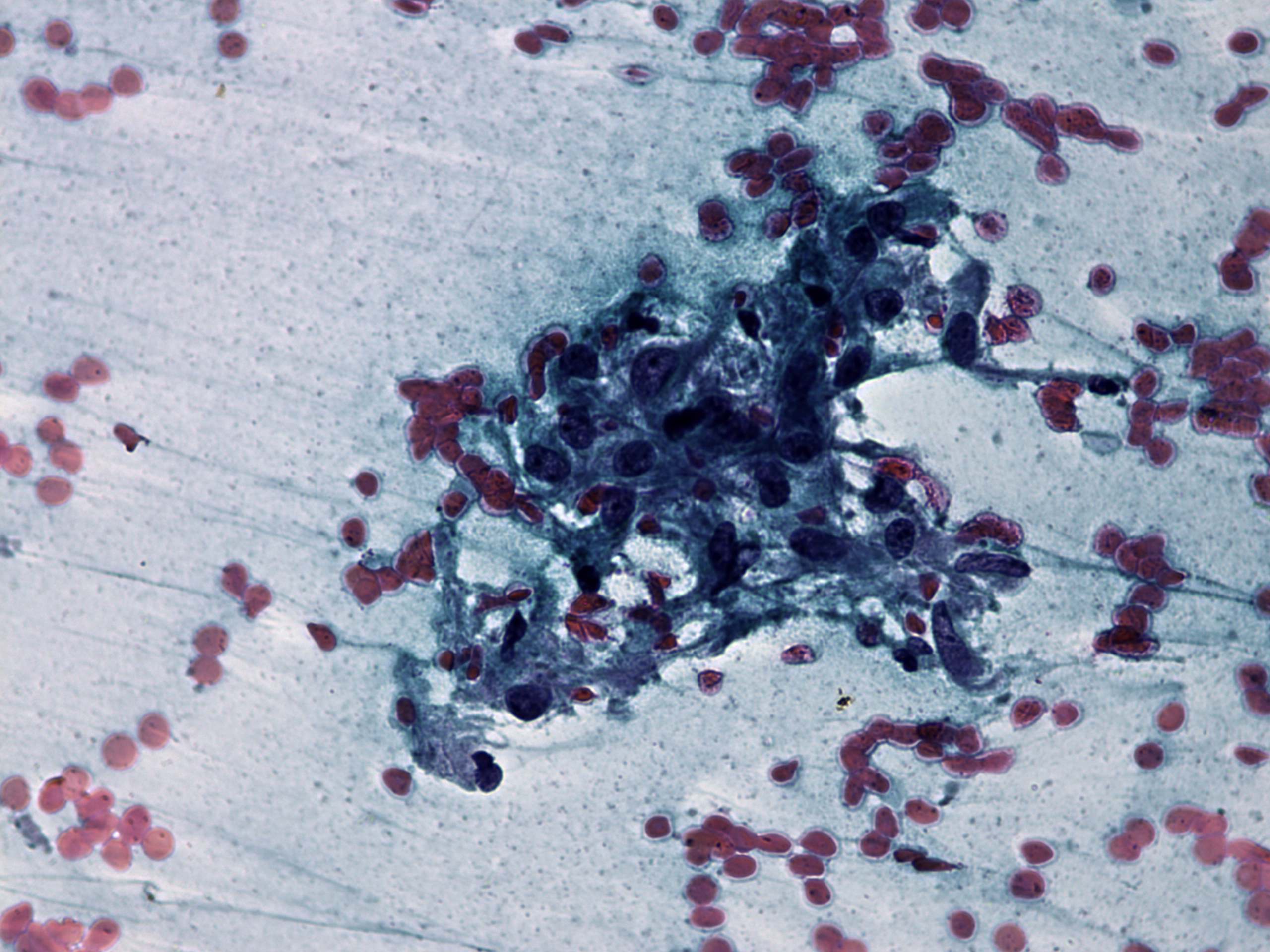
Pap-smear, 400x. Follicular cells mixed with inflammatory cells. There are two elongated cells on the right. These are probably epithelioid cells.


