Case 374 (cytologic picture 6)


Previous picture Back to Case Maximize Next picture



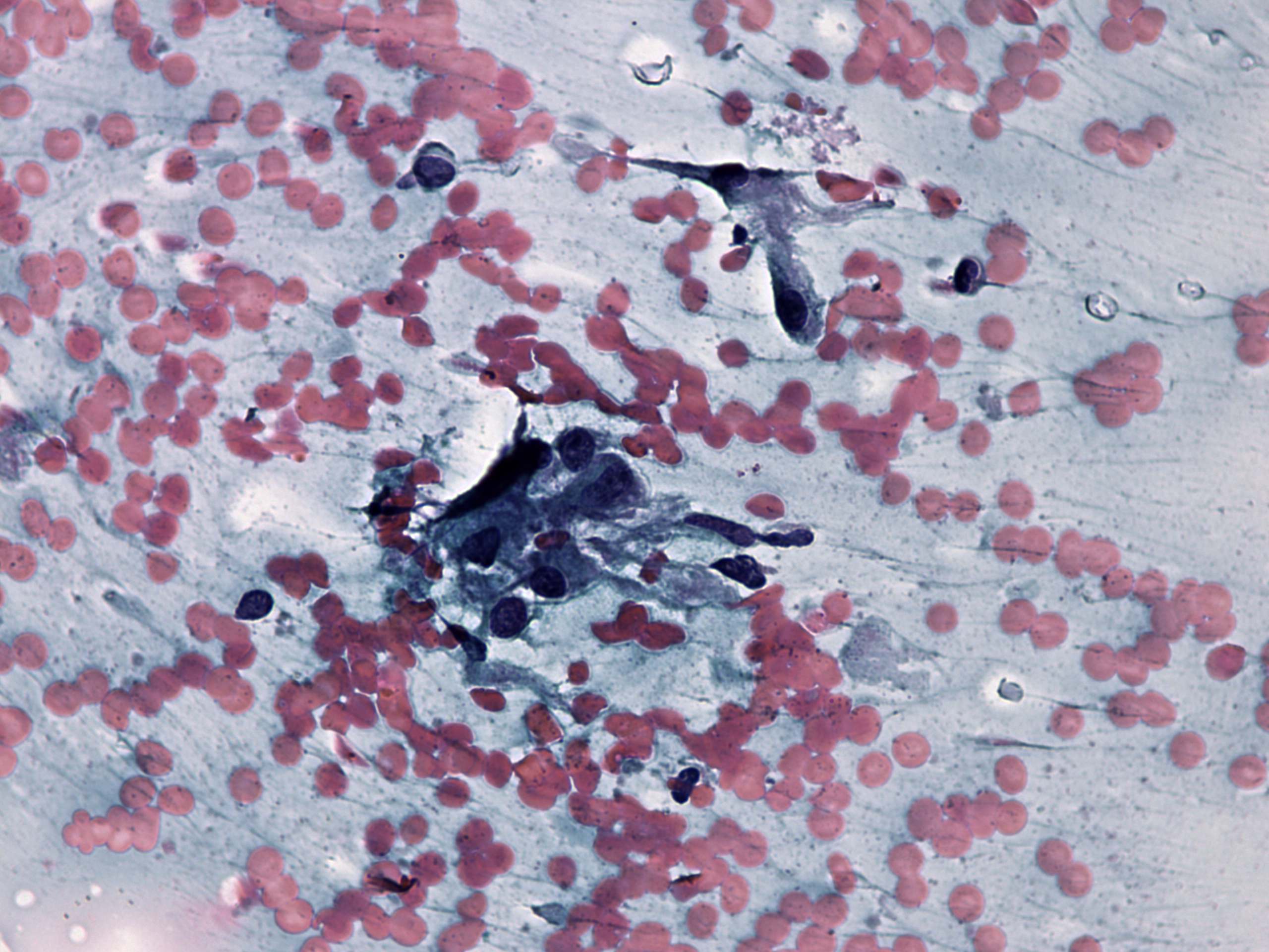
Pap-smear, 400x. Typical and degenerated forms of follicular cells mixed with epithelioid cells.

mask