Case 391

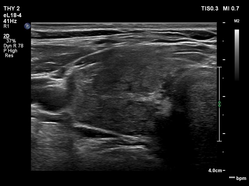
Second examination seven years later (ultrasonographic picture 1)


Previous picture Back to Case Next picture

Right lobe, longitudinal scan

Right lobe, transverse scan. The presentation remained the same.

 

 

 

 

 

mask