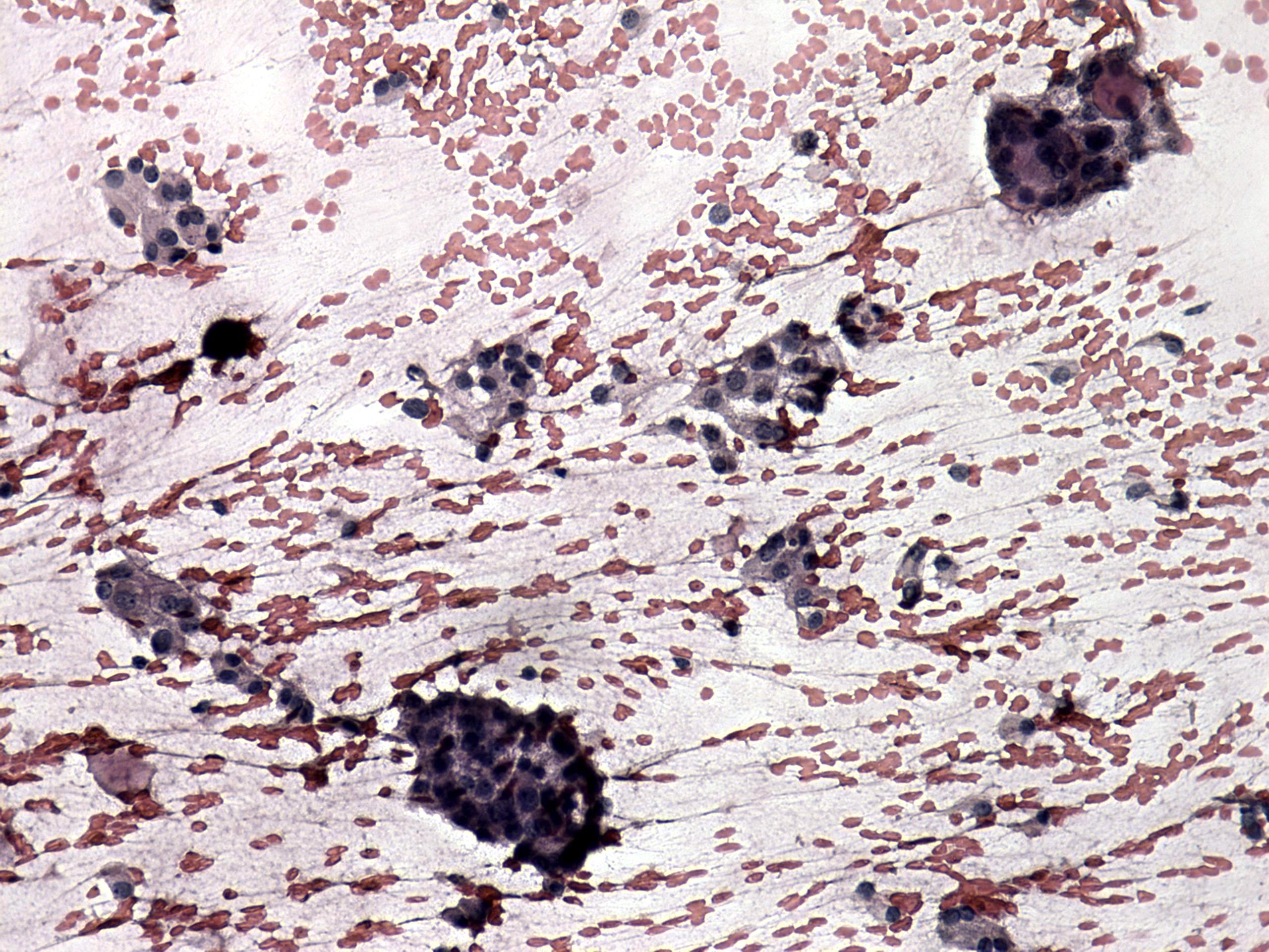
Case 252 (cytologic picture 2)


Previous picture Back to Case Maximize Next picture

Right lobe, longitudinal scan

Pap-smear, 200x.   Follicular cells present oxyphilic metaplasia.

 

 

 

mask