Case 252 (cytologic picture 5)


Previous picture Back to Case Maximize Next picture

Right lobe, longitudinal scan

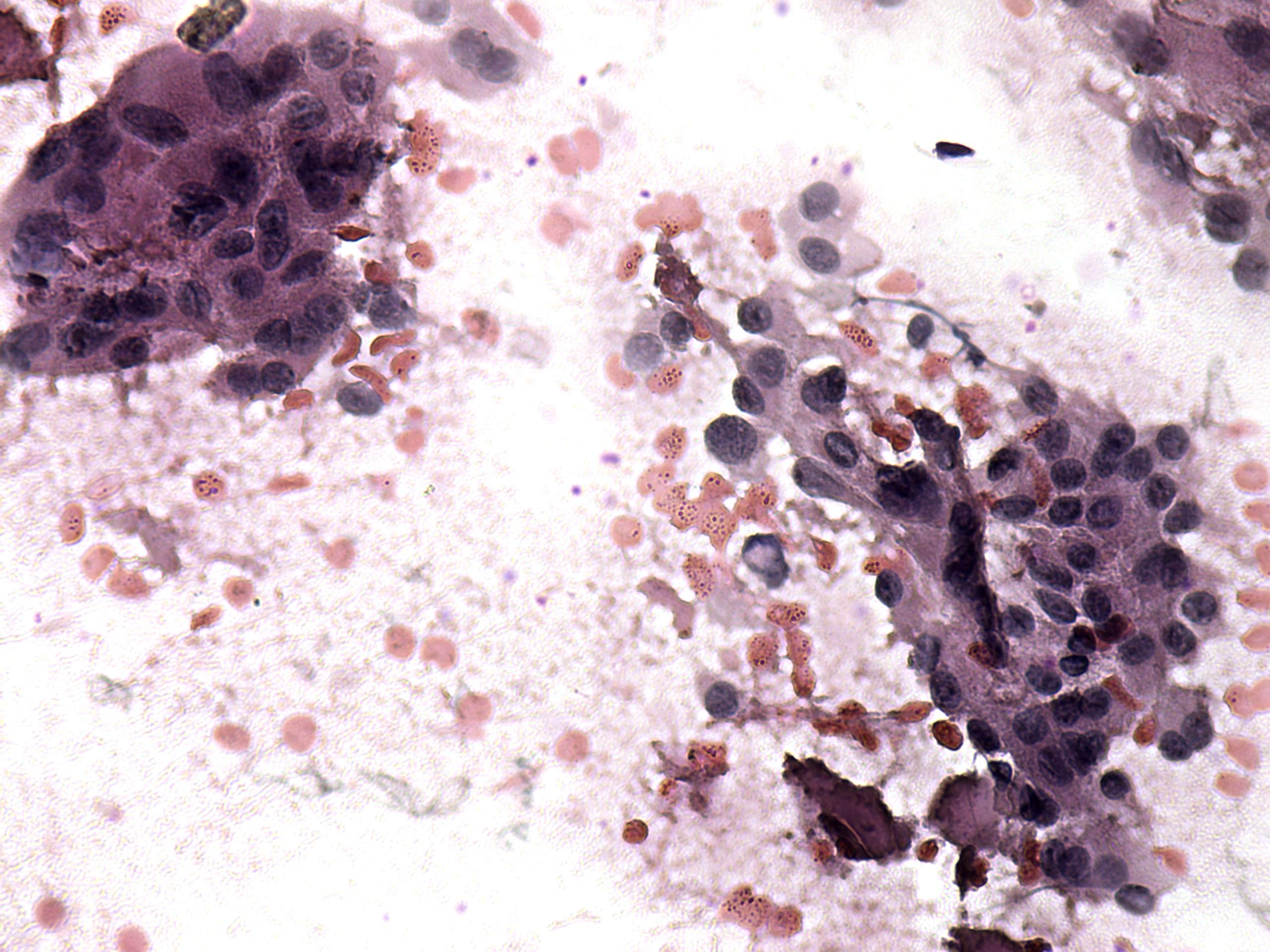
Pap-smear, 400x.   Atypical, pleomorphic forms can be seen.

 

 

 

mask