Case 554 (cytologic picture 8)


Previous picture Back to Case Maximize Next picture

Right lobe, longitudinal scan

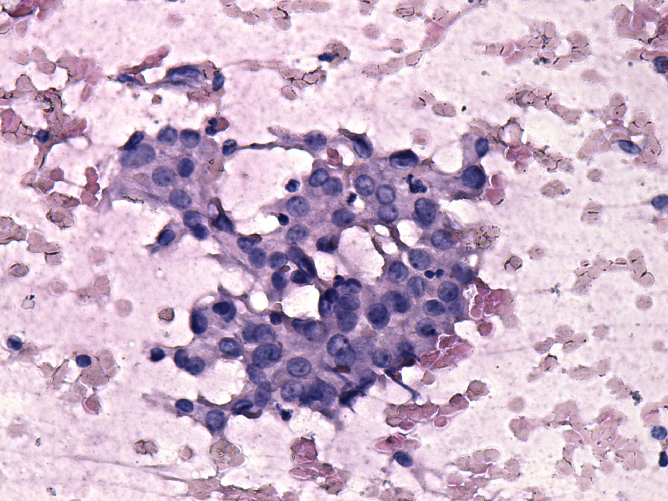
Pap-smear, 400x.   Compared with the previously presented clusters, this is a more regular cell group.

 

 

 

 

 

mask