|
|
Case 675/only for Videolibrary and Exam/ |
Clinical data: A 57-year-old woman was referred for evaluation of an unstable hypothyroidism. She has got replacement therapy for 9 years. She was euthyroid on daily 100 microgram levothyroxine, but a low TSH level was detected six months ago. Then her GP decreased the dose to daily 50 micrograms.
Palpation: no abnormality.
Laboratory tests: TSH 31.4 mIU/L on daily 50 micrograms levothyroxine.
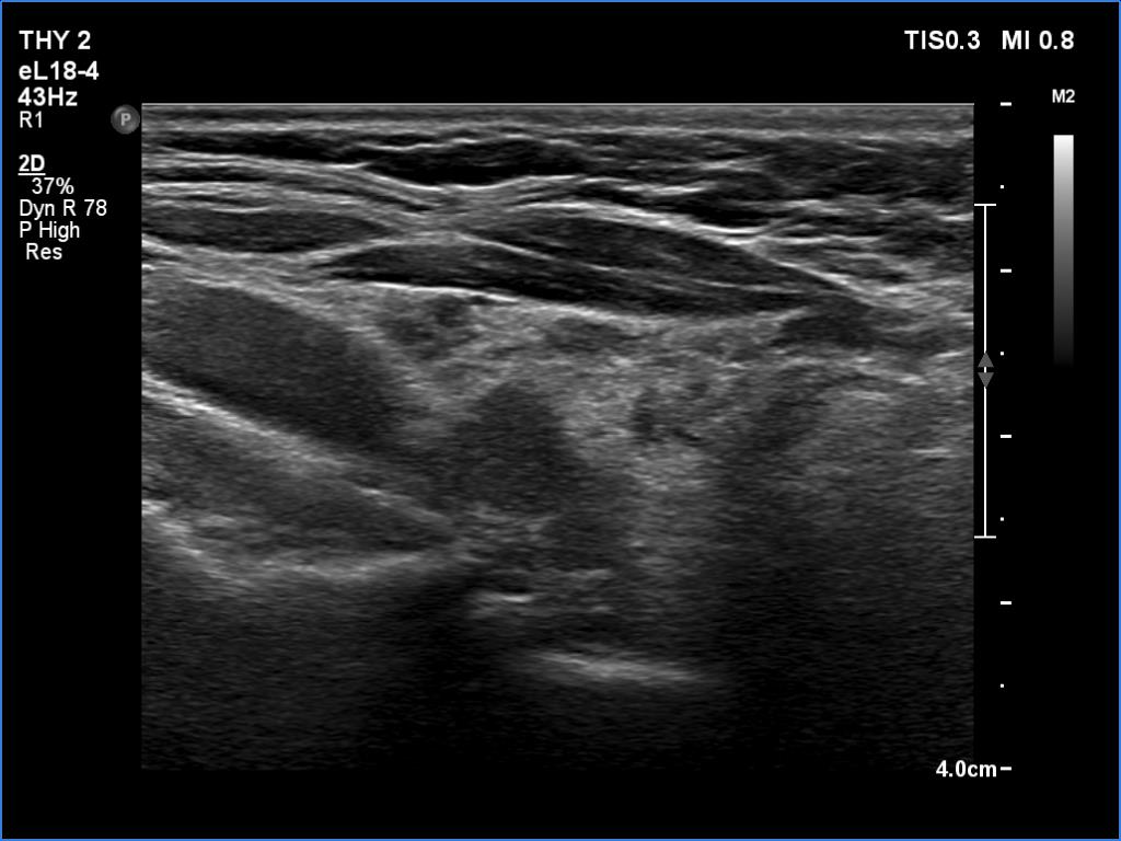
Ultrasonography. The thyroid was decreased in size and presented numerous discrete hypoechoic lesions which presented with irregular borders. These discrete areas corresponded to more active foci of thyroiditis.
We suggested to increase the dose of levothyroxine to daily 75 micrograms.
Comment. It is rarely justified to change the dose of replacement therapy by more than 25 micrograms per day.




