Case 739 (cytologic picture 5)
|
|
|
![]() |
|
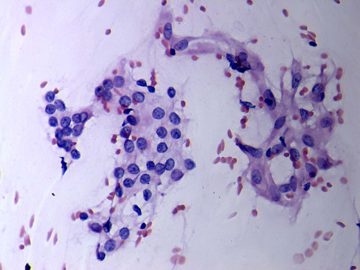
Pap-smear, 400x. The left two clusters are composed of follicular cells while the right one contains elongated cells, as well. The latter are probably fibrocytes.

