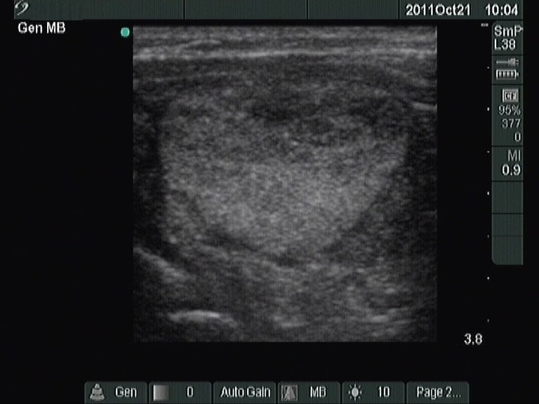
Case 739 (ultrasonographic picture 6)


Previous picture Back to Case Next picture

Right lobe, longitudinal scan

Left lobe, longitudinal scan. The nodule exhibits a halo sign.

 

 

 

 

mask