Case 795 (ultrasonographic picture 4)


Previous picture Back to Case Next picture

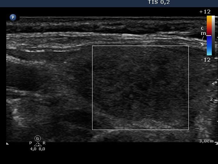
Right lobe, longitudinal scan

Right lobe, longitudinal scan, color Doppler mode. The lobe is avascular.

mask