Case 999
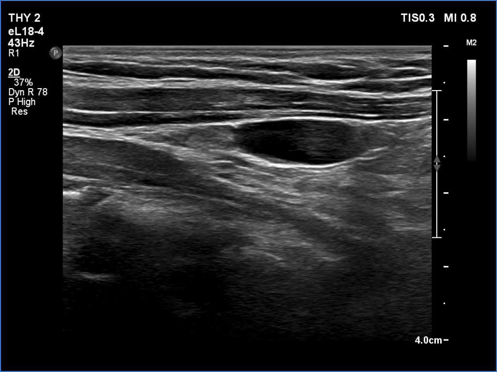
Follow-up investigation two years later (ultrasonographic picture 4)
|
|
|
|
Left lobe, longitudinal scan. Connective tissue can be seen in the upper fourth while a cystic lesion in the lower three-fourth of the thyroid bed.
