Menu
2022-23 Advanced Papillon Course
Home
Case of the Month
Webinars
1 Introduction
2 Nodular goiter
3 Non-nodular thyroid
4 Non-thyroid neck
5 US-interventions
6 Advanced courses
Lesion vs. nodule
Chapter Home
Introduction
Manual
Courses
Cases
Videolibrary
Exam
7 Related topics
Supplement
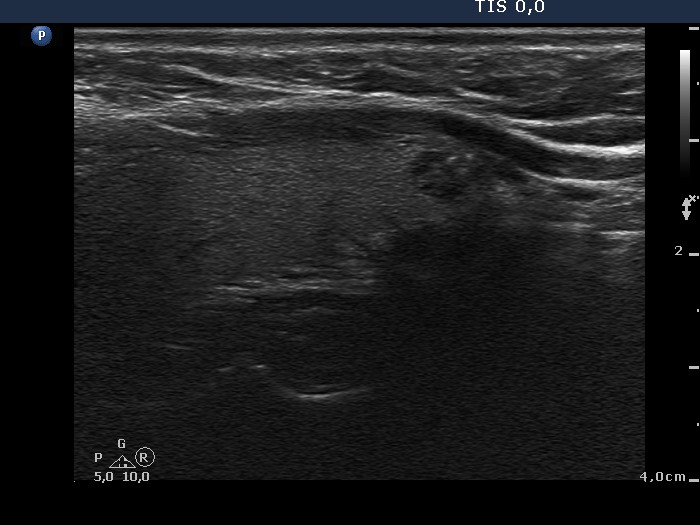
Case conp 031 (ultrasonographic picture 5)
Left lobe, another longitudinal scan.