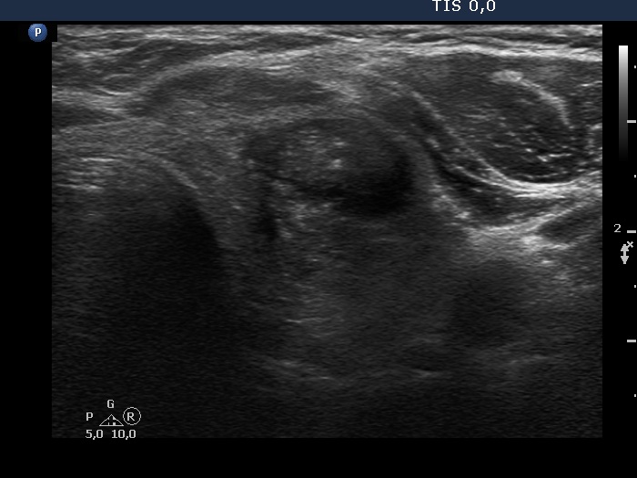
Case conp 085
Follow-up investigation 7 years after the first visit (ultrasonographic picture 5)
|
|
|
|
Left lobe, another transverse scan. The lesion is difficult to project in transverse scan.
