Case cons100_044 (cytologic picture 8)


Previous picture Back to Case Maximize Next picture

Right lobe, longitudinal scan

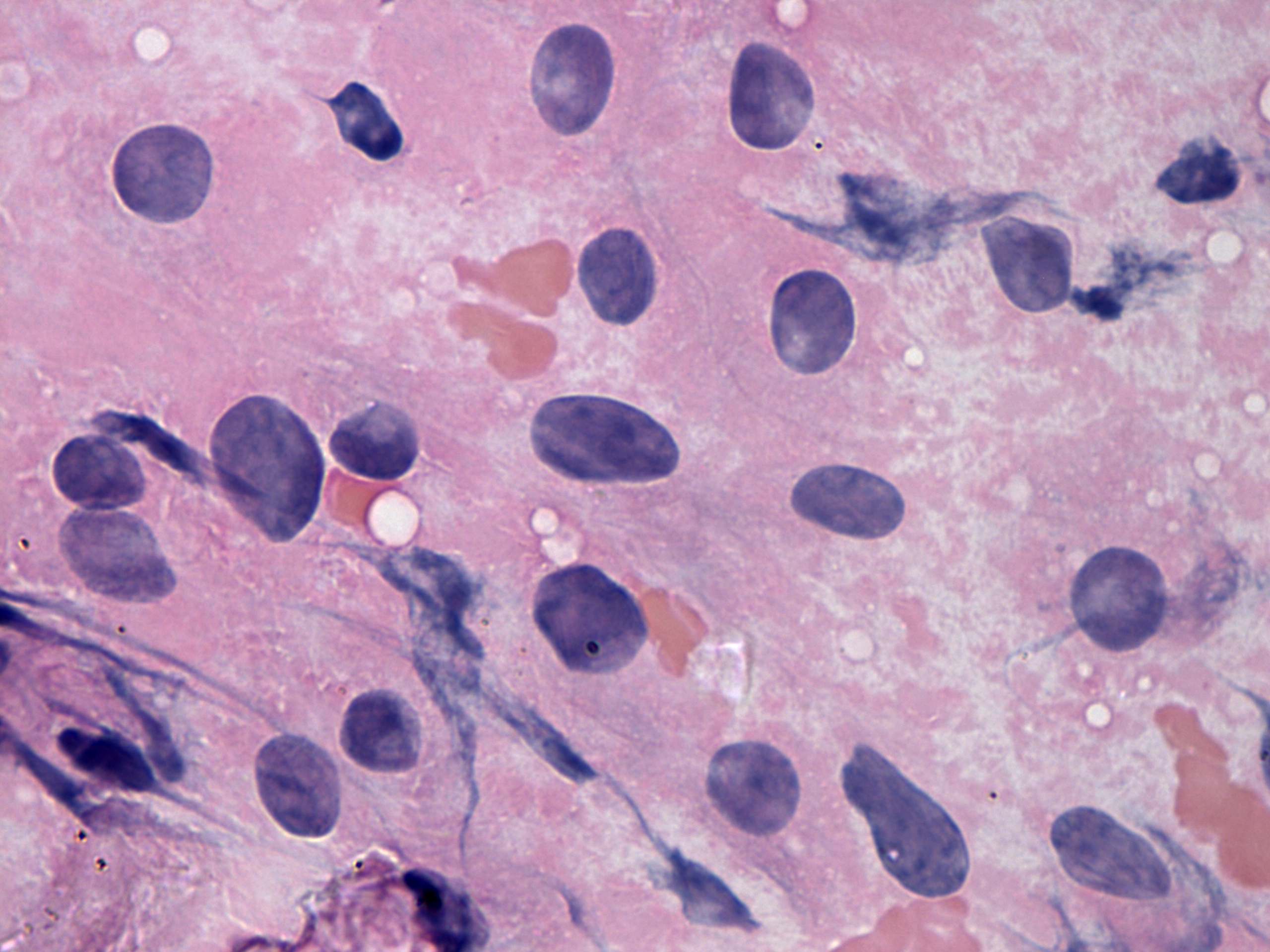
Pap-smear, 1000x.   Follicular cells do not show any significant atypia.

 

 

 

 

 

mask