The operated thyroid - case 169
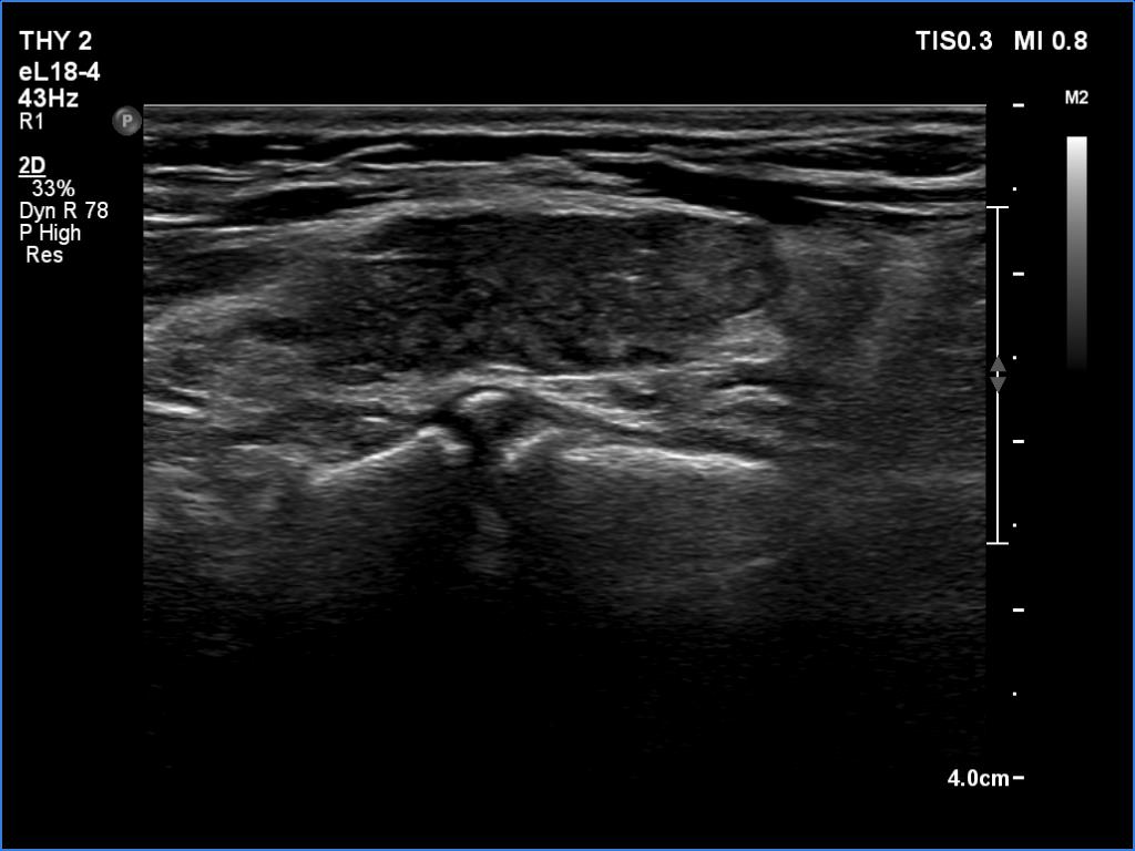
Follow-up investigation 6 months after first visit (ultrasonographic picture 5)
|
|
|
|
Left lobe, longitudinal scan. This pattern is much less worrying regarding the echogenic granules.
