The operated thyroid - case 411 (ultrasonographic picture 7)


Previous picture Back to Case Next picture

Right lobe, longitudinal scan

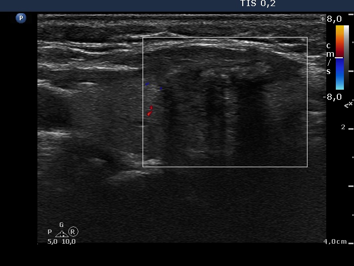
Left lobe, longitudinal view, color Doppler mode.

 

 

 

 

mask