The operated thyroid - case 940
Follow-up investigation 6 months after first visit (ultrasonographic picture 5)
|
|
|
|
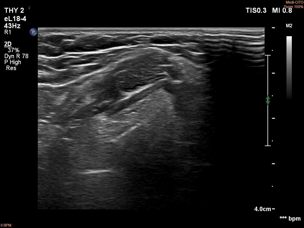
Middle part of the neck, 4 cm above the thyroid, another longitudinal scan. The presentation of this ectopic tissue is very close to that of the thyroid before the surgery.
