The operated thyroid - case 940
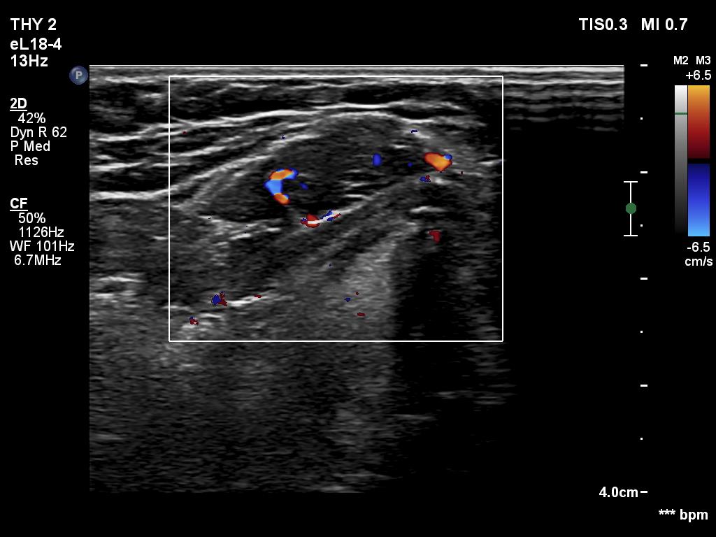
Follow-up investigation 6 months after first visit (ultrasonographic picture 7)
|
|
|
|
Middle part of the neck, 4 cm above the thyroid, longitudinal scan, color Doppler mode. The aberrant tissue has vascularization which would be an unusual finding in muscle tissue.
