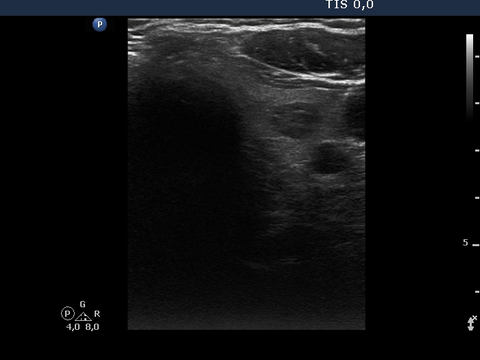
Thyroid cancers - case 1041 (ultrasonographic picture 5)
|
|
|
|
Left lobe, transverse scan. We did not change the settings, therefore the otherwise normal-size lobe seems to be decreased. There is a hypoechoic nodule in the central part.
