Thyroid cancers - case 1086 (cytologic picture 1)


Previous picture Back to Case Maximize Next picture

Right lobe, longitudinal scan

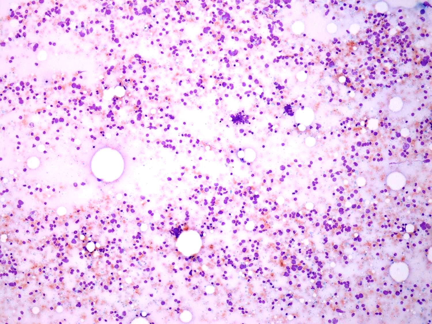
Wright-Giemsa staining, 100x.   The pattern is monomorphic.

 

 

mask