Thyroid cancers - case 1167 |
|
Clinical presentation: A 81-year-old man was referred for evaluation of a goiter. The patient noticed that a mass evolved within a few weeks in the right side of the neck 4 months ago. Then the mass has not further increased. The patient had minimal difficulties in swallowing.
Palpation: There was a large, firm mass in the right lobe. The tumor had uneven surface.
Functional state: TSH-level 0.04 mIU/L, FT4 12.9 pM/L, aTPO 6 U/mL.
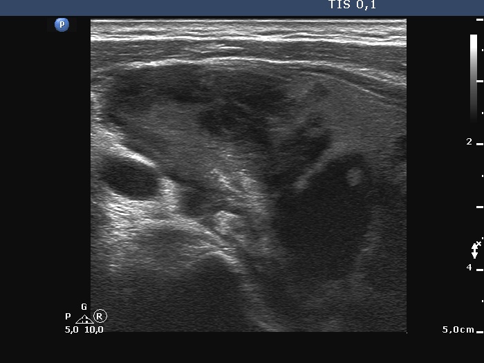
Ultrasonography. The right lobe was extremely enlarged with the dimensions of 50, 50 and 85 mm, depth, width and length, respectively. This lobe was composed of multiple hypoechoic areas within an echonormal background. The left lobe also had a hypoechoic lesion.
Cytology resulted in suspicion of lymphoma.
Biopsy was performed. Histopathology disclosed diffuse, large B-cell malignant lymphoma.





