Thyroid cancers - case 1174 |
|
Clinical data: A 76-year-old woman was referred for evaluation of a rapidly evolving goiter. The daughter of the patient told us that they noticed a small mass first three weeks ago. The patient noticed hoarseness, dyspnea and difficulties in swallowing a week before the examianation.
Palpation: a very hard, not freely moveable mass in the right side of the neck.
Laboratory tests: TSH 0.16 mIU/L, FT4 19.2 pM/L.
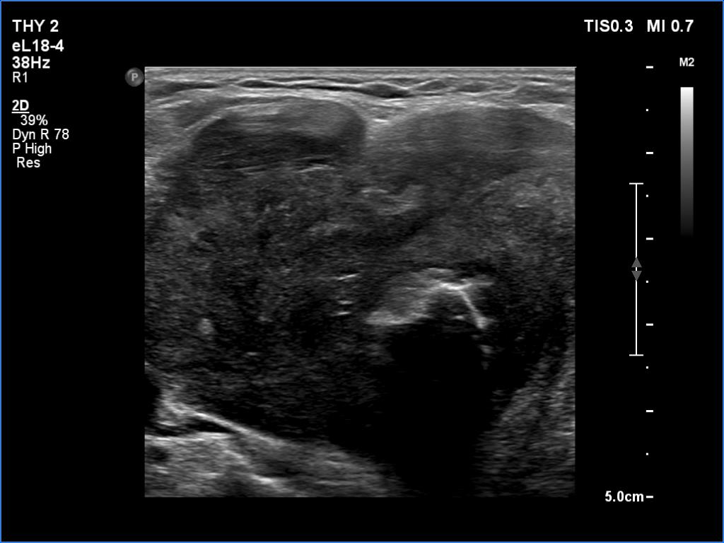
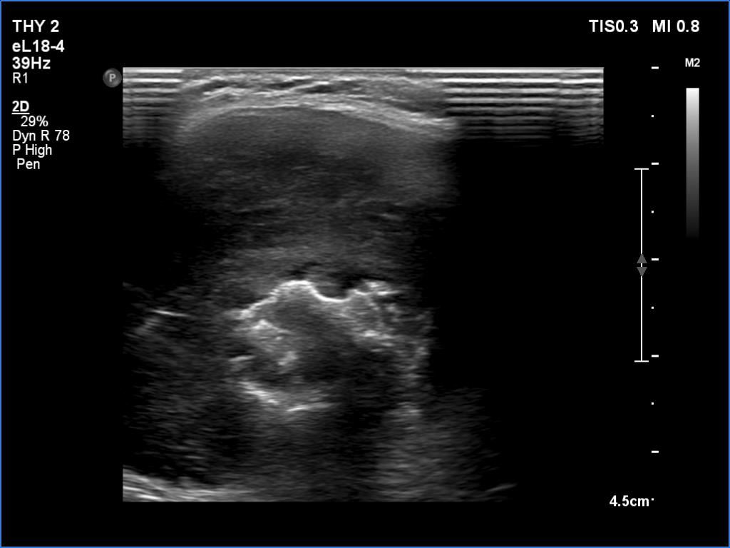
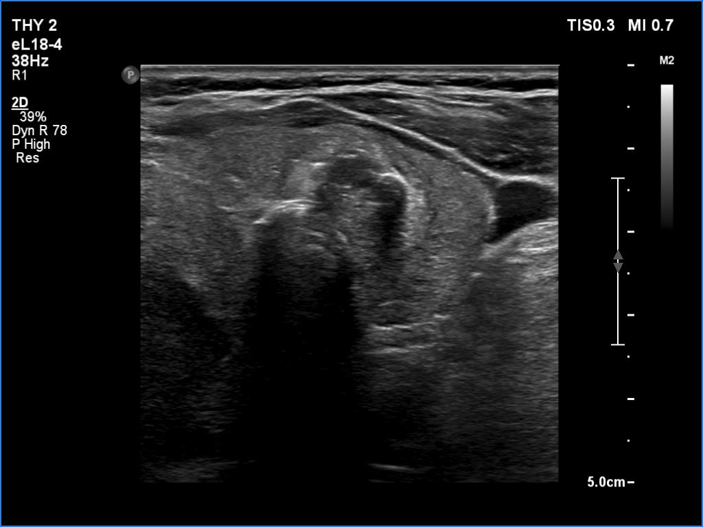
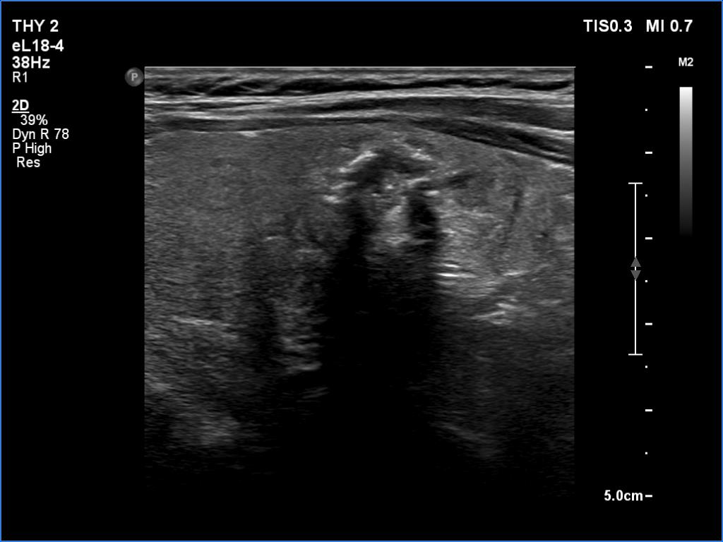
Ultrasonography. There was an irregular, large hypoechoic mass in the right lobe. The nodule has irregular, lobulated margins and was hard on elastography. A much smaller, similar nodule was in the lower-medial part of the left lobe.
Cytology resulted in anaplastic cancer.
Just after the outpatient visit, the patient was sent to surgical department. The next day tracheotomy had to be performed because of increasing dyspnea. The patient died two days later in the intensive care unit.
Histopathology and autopsy disclosed a T4 anaplastic thyroid cancer invading the esophagus and the trachea.










