Thyroid cancers - case 1200 |
|
Clinical data: A 62-year-old woman was referred for an evaluation of a rapidly increasing tumor which evolved over 2 months. Previous examination disclosed left recurrent laryngeal nerve palsy.
Palpation: a stone-hard tumor according to the left the thyroid lobe.
Functional state: euthyroidism (TSH 1.03 mIU/L, FT4 14.9 pM/L).
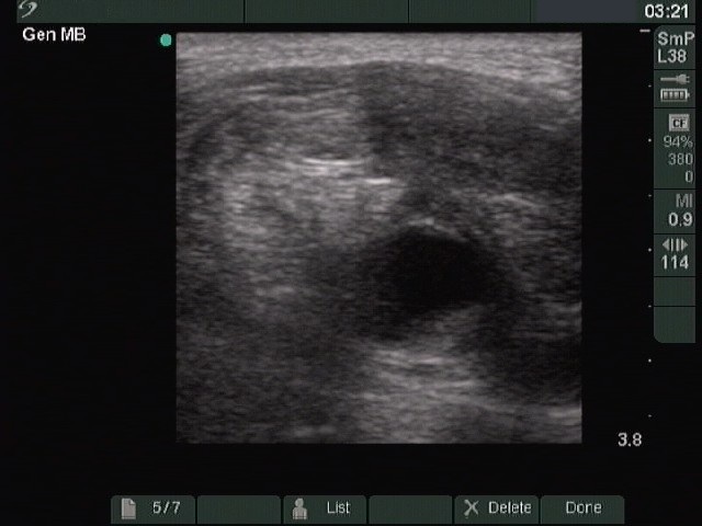
Ultrasonography. The right lobe was intact, while the left was composed of a large nodular area with multiple hypoechogenic and hyperechogenic discrete lesions. The latter corresponded to necrosis.
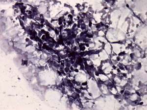
Cytological diagnosis: anaplastic carcinoma.
Histopathology: anaplastic cancer.










