Thyroid cancers - case 1202

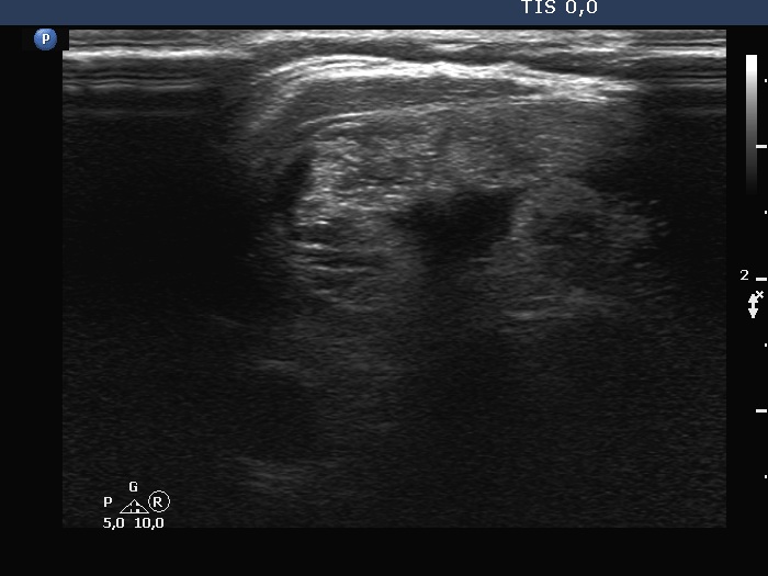
Follow-up investigation 6 years later (ultrasonographic picture 6)


Previous picture Back to Case Next picture

Right lobe, longitudinal scan

Isthmus, another transverse scan. Typical back wall figures are demonstrated.

 

 

 

 

mask