Thyroid cancers - case 1202 (ultrasonographic picture 5)


Previous picture Back to Case Next picture

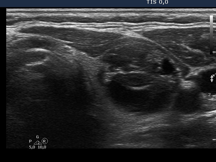
Right lobe, longitudinal scan

Left lobe, transverse scan. This lobe has a large cystic nodule.

 

 

 

 

mask