Thyroid cancers - case 1372 (cytologic picture 3)


Previous picture Back to Case Maximize Next picture

Right lobe, longitudinal scan

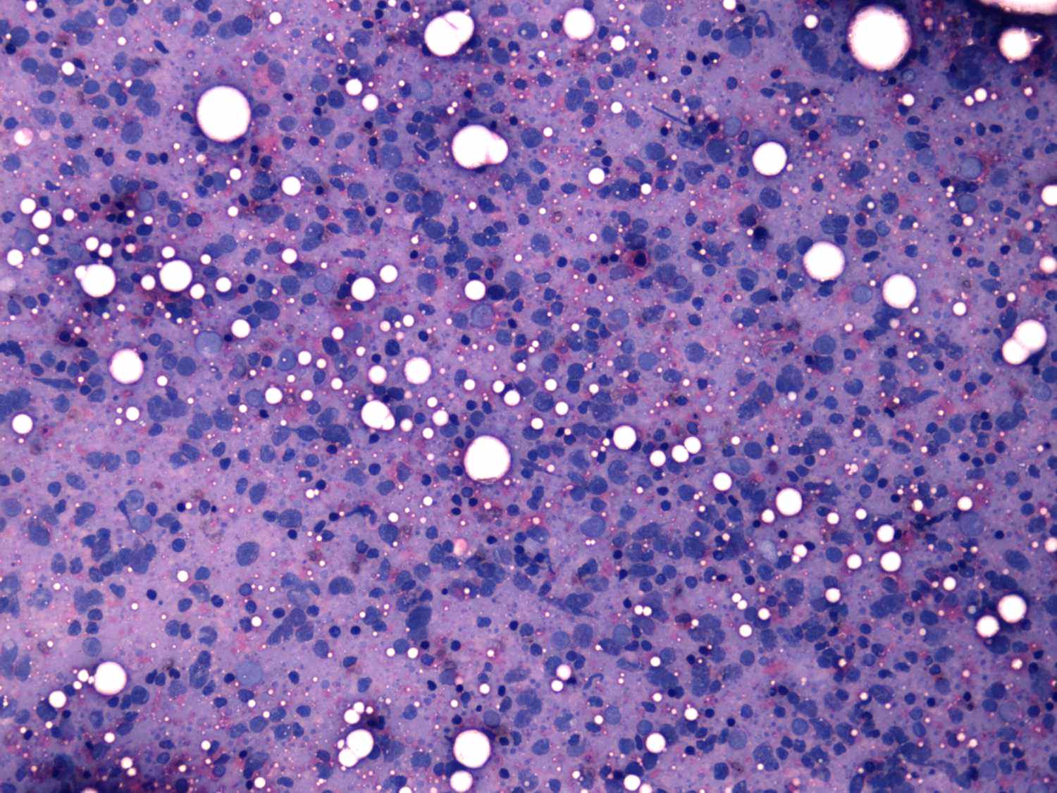
Pap-smear, 200x.      Although the lymphoid population is heterogeneous, lymphoblasts predominate the smear.

 

 

 

 

mask