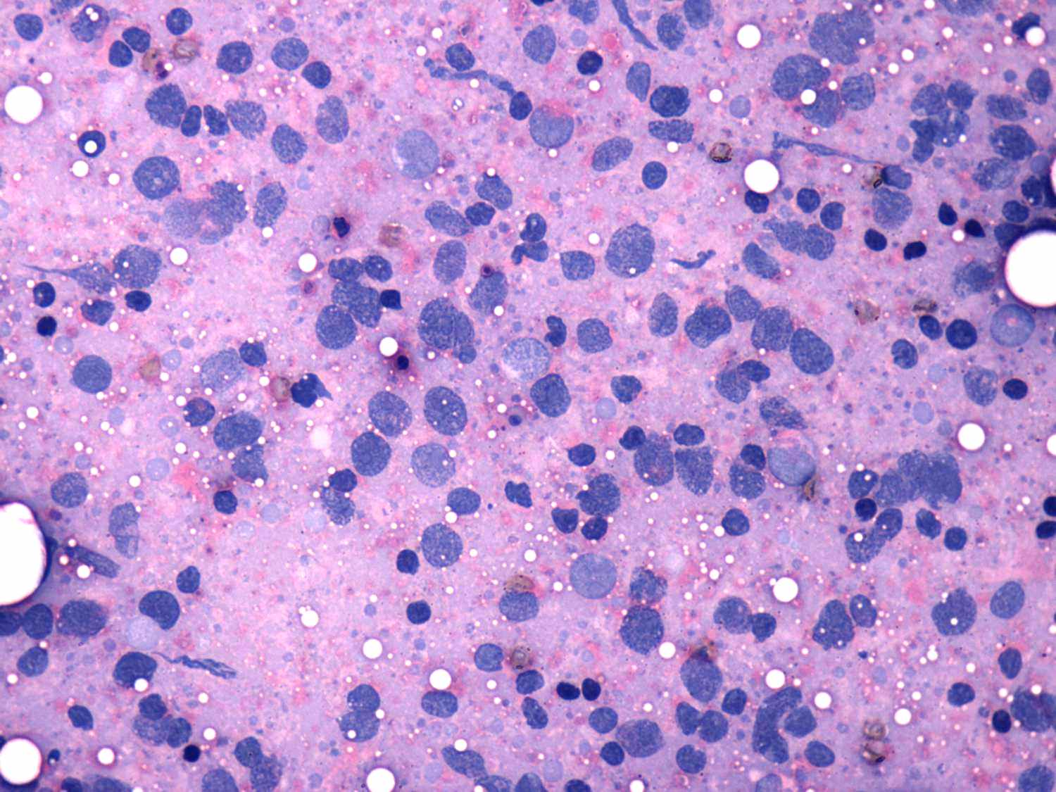
Thyroid cancers - case 1372 (cytologic picture 5)
|
|
|
![]() |
|
Pap-smear, 400x. Naked, relatively small nuclei predominate the smear. These can correspond to tumor cells of either a small cell lung cancer or a malignant lymphoma.

