2022-23 Advanced Papillon Course
Thyroid cancers
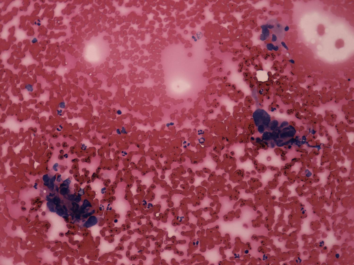
Pap-smear, 200x. There are disarranged clusters of atypical, pleomorphic follicular cells.