Thyroid cancers - case 1467 (cytologic picture 4)


Previous picture Back to Case Maximize Next picture


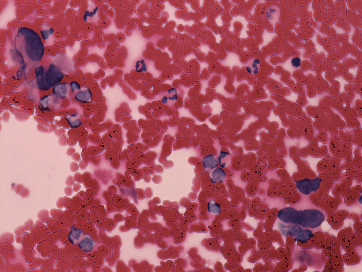
Pap-smear, 400x.   Pleomorphic dissociated tumor cells.

mask