Thyroid cancers - case 1472 |
|
Clinical data: A 60-year-old woman was referred for an evaluation of a suspected malignant tumor of the thyroid. The goiter had evolved over 5 weeks.
Palpation: The very enlarged right lobe was hard, uneven, painless.
Functional state: euthyroidism (TSH 2.38 mIU/L, FT4 13.1 pM/L).
Ultrasonography. Almost the whole right lobe was composed of a hypoechogenic nodule with echonormal areas. The latter corresponded to necrosis.
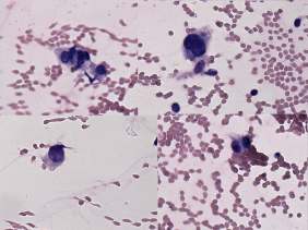
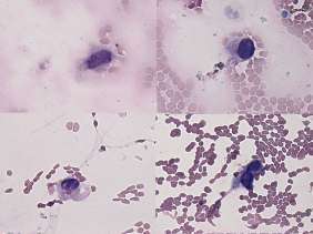
Cytological picture. There was no colloid on the smear. Several irregular clusters were found. These presented with with nuclear crowding. There were a few isolated pleomorphic tumor cells on the smear.
Combined clinical-cytological diagnosis: anaplastic cancer.
Histopathology: anaplastic cancer.
Comment. The extremely rapid evolvement (i.e. within 3-8 weeks) of a painless, hard thyroid is almost diagnostic for anaplastic cancer. A similar clinical presentation occurs in MALT-lymphoma, however, in the latter the thyroid enlargement evolves over 2 to 4 months.







