Thyroid cancers - case 1478 (histological picture 5)


Previous picture Back to Case Maximize Next picture

Right lobe, longitudinal scan

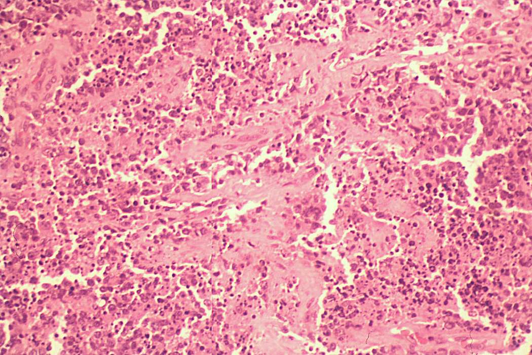
H.-E. section, 100x.  The thyroid is infiltrated by small non cleaved cells.

 

 

 

mask