Thyroid cancers - case 1510 (cytologic picture 5)


Previous picture Back to Case Maximize Next picture

Right lobe, longitudinal scan

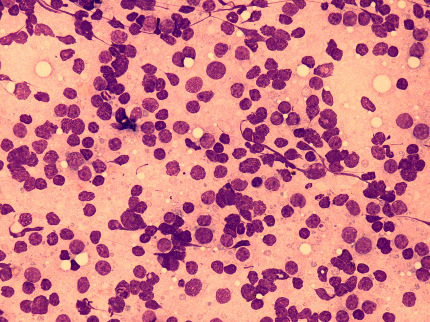
Wright-Giemsa staining, 400x.   This is a heterogeneous lymphoid cell population.

mask