Thyroid cancers - case 1510 (cytologic picture 5 - of another smear)


Previous picture Back to Case Maximize  

Right lobe, longitudinal scan

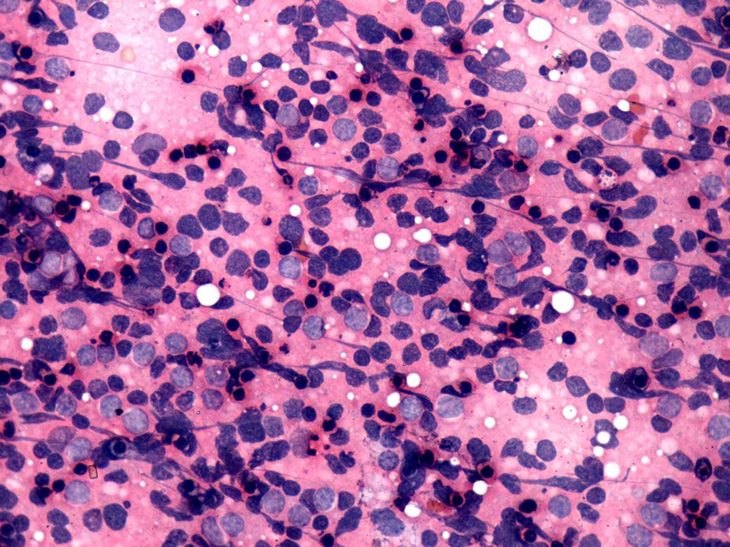
Pap-smear, 400x.   Heterogeneous lymphoid cells and nuclear debris.

 

 

 

mask