Thyroid cancers - case 2181 |
|
Clinical presentation: A 52-yr-old woman requested evaluation. She has been known harboring a nodule for more than 10 years. Cytology resulted in benign lesion 7 years ago. In the last two years, she was treated for Graves' hyperthyroidism. TSAb level was 9.1 U/L at the onset on hyperthyroidism.
Palpation: No nodule could be palpated.
Laboratory tests: TSH 2.06 mIU/L, FT4 13.2 pM/L, TSAb 0.2 U/L on daily 2.5 mg methimazole.
I suggested repeating the FNA but the patient refused it.
Essence of follow-up. The thyrostatic therapy was discontinued after this visit. Seven months later, the hyperthyroidism has recurred and total thyroidectomy was performed.
Histopathology disclosed minimally invasive follicular cancer and diffuse goiter according to the non-nodular thyroid.
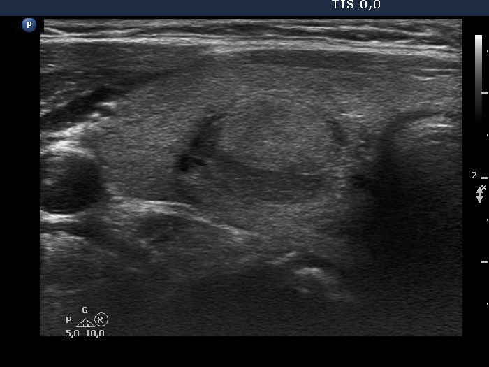
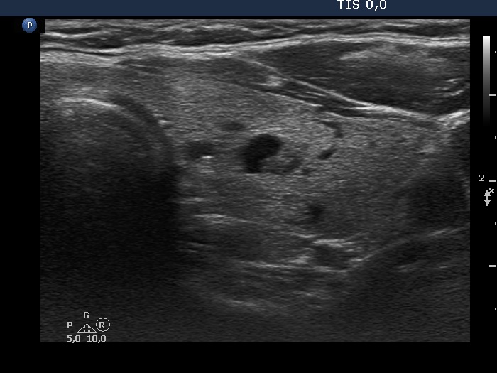
Comment. The judgement of several ultrasound characteristics is not easy in this case. First, the echogenicity of the nodule: echonormal and hypoechoic parts occur in roughly equally. The borders present undulation at the ventral and lower parts which can be regarded pathological. Finally, the intranodular echogenic figures are also difficult to judge.





