Thyroid cancers - case 630 (cytologic picture 4)


Previous picture Back to Case Maximize Next picture

Right lobe, longitudinal scan

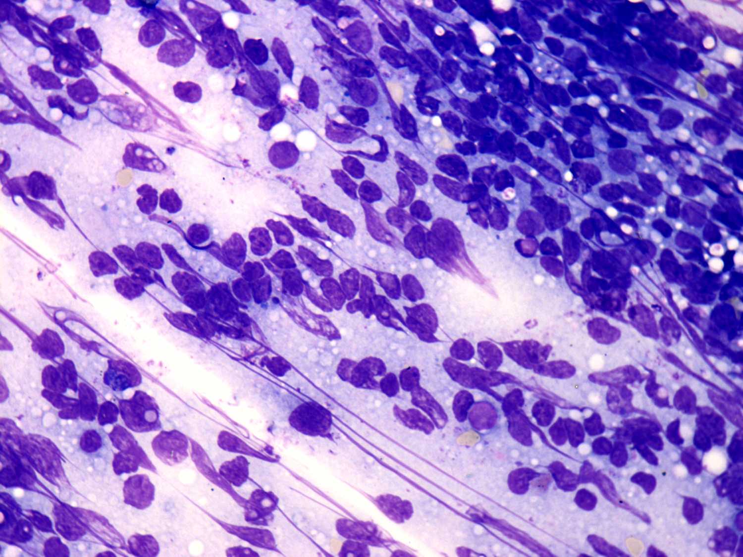
Wright-Giemsa staining, 400x.   A heterogeneous lymphoid cell population with the predominance of lymphoblasts.

 

 

 

 

mask