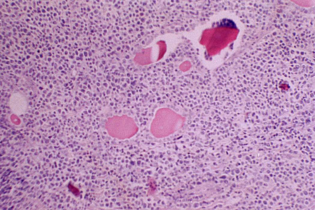
Thyroid cancers - case 630 (histological picture 1)


Previous picture Back to Case Maximize Next picture

Right lobe, longitudinal scan

H.E. section, 100x.    Residual follicles can be seen in the diffuse tumorous infiltration.

 

 

 

mask