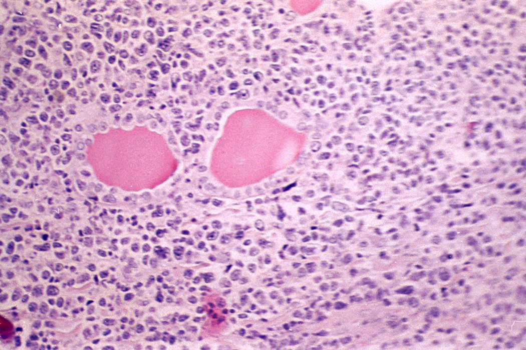
Thyroid cancers - case 630 (histological picture 3)


Previous picture Back to Case Maximize Next picture

Right lobe, longitudinal scan

H.E. section, 200x.  The oval cells of the lymphoma have clear nuclei.

 

 

 

mask